日野駅より徒歩3分 日野新町歯科医院の3DR治療のご紹介です。
入れ歯でもインプラントでもない「第3 の選択肢」
手術なしで、噛める喜びと美しい口元を。
全顎(フルマウス)対応の3DR 治療
1. はじめに
歯を失ってお困りのあなたへ
「総入れ歯にするしかないと言われたが、どうしても抵抗がある」
「部分入れ歯を使っているが、痛みや違和感がある」
「インプラントにしたいけれど、骨がなくて断られた」
「手術が怖い、あるいは健康な歯を削るブリッジには抵抗がある」
もし、あなたがこのような悩みをお持ちなら、諦める前に知っていただきたい新しい治療法があります。それが「3DR(Third Dental Replacement)」です。
これまでは部分的な治療が主だったこの技術が、技術革新により「全顎(フルマウス)」の治療にも適用可能になりました。これまでの常識を覆す、入れ歯の「不快感」も、インプラントの「手術」もない。あなたの大切な生活の質(QOL)を取り戻すための、画期的なアプローチをご紹介します。
2. 3DR治療とは?
~その仕組みと革新性~


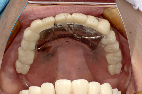
3DRは、従来の入れ歯やインプラントとは異なる構造を持つ、全く新しい補綴(ほてつ)システムです。
独自の維持装置を用いることで、外科手術を行うことなく口腔内にしっかりと固定されます。また、残っている複数の歯を最大限に活かして義歯を固定するため、一部の歯に過度な負担がかかるのを防ぎます。
特に「全顎適用モデル」は、無歯顎(歯が一本もない方)や、わずかにしか歯が残っていない方のためにも開発されました。
「取り外しができるのに、入れたら動かない」
「自分の歯のように噛めるのに、手術も健康な歯を削る必要もない」
この矛盾するような理想を現実にしたのが、3DRです。
3. なぜ3DRが選ばれるのか?
5つの大きなメリット
当院が自信を持ってこの治療をおすすめする理由は、患者様の負担を極限まで減らしつつ、高いパフォーマンスを発揮できる点にあります。
メリット①:まるで自分の歯のような「装着感」と「審美性」
従来の総入れ歯における最大の欠点は、口蓋(上顎の天井部分)をプラスチックで大きく覆うことによる「違和感」や「味覚の低下」でした。
3DRは特殊な固定源を用いることで、口蓋を覆う必要がありません。また、薄く強度の高い金属素材を使用するため、装着時の違和感や痛みがほとんどありません。金属のバネが見えることもなく、お顔立ちに合わせた自然なデザインで「他人に気づかれにくい」美しい口元を実現します。
メリット②:外科手術・健康な歯の切削が一切不要
インプラントのように顎の骨に穴を開ける外科手術は一切行いません。また、ブリッジのように両隣の健康な歯を大きく削る必要もありません。
出血や腫れ、感染症のリスクが極めて低いため、持病(重度の糖尿病、心疾患など)をお持ちの方や、骨粗鬆症のお薬を服用中の方、ご高齢の方でも安心して受けていただけます。
メリット③:自然な歯に近い「噛む力」の再現

3DRは、粘膜や残存歯など今あるお口の環境を最大限に活かし、複数のポイントで義歯をしっかりと密着・固定します。そのため、残っている健康な歯への負担を最小限に抑えつつ、自然の歯と同等のしっかりとした噛む力を維持・再現することができます。
メリット④:自然な歯に近い「噛む力」の再現
外科手術が不要なため、虫歯や歯周病の治療が必要なければ「型取り」→「技工士による作成」→「装着・調整」というシンプルな流れで、インプラントに比べて短期間で治療が完了します。
装着後は特殊な洗浄剤などは必要なく、ご自身の歯と同様に日常の歯磨きを行うだけで清潔に保つことができます。継続的なメンテナンスにより、長く安心してご使用いただける耐久性も備えています。
メリット⑤:限られた医院でしか受けられない「高度な専門技術」

3DR(特に全顎症例)は、噛み合わせのバランスや顎の動きなどを綿密に計算する非常に高度な設計技術が求められるため、実施できる歯科医院は全国でも極めて限られています。当院は豊富な症例実績を持ち、経験豊富な歯科医師と技工士が連携してあなただけのオーダーメイド装置を作り上げます。
4. 治療前に知っておいていただきたいデメリット(注意点)
当院では、患者様に後悔のない選択をしていただくため、デメリットも隠さずお伝えしています。
・保険適用外(自費診療)であること
保険が適用されない自由診療となるため、保険の入れ歯と比べると費用が高額になります。ただし、全顎にインプラントを行うケースと比較すると、費用を抑えられる場合が多くあります。
・強い力がかかると外れるリスクがある
骨に直接埋め込むインプラントや、セメントで固定するブリッジと比較すると固定力は一歩譲ります。そのため、想定以上の強い力が加わると外れるリスクがあります。※万が一外れた場合でも、再度調整・固定することが可能です。
5. 徹底比較
入れ歯・インプラント・3DR
| 特徴 | 一般的な総入れ歯・部分入れ歯 | インプラント | 3DR(全顎・部分) |
|---|---|---|---|
| 手術 / 歯の切削 | 不要 | 必要(切開・埋入) | 不要(健康な歯も削らない) |
| 装着感 | 違和感が大きい(口蓋を覆う等) | 自分の歯に近い | 自分の歯に近い(口蓋フリー・極薄) |
| 審美性 | バネが見えることがある | 非常に良い | 非常に良い(バネなし) |
| 噛む力 | 弱い・不安定 | 強い | 強い(しっかり固定) |
| 治療期間 | 短い | 長い(半年~1年以上) | 比較的短い |
| 体への負担 | 少ない | 大きい | 極めて少ない |
| 適用範囲 | 誰でも可能 | 骨の量や持病に左右される | 骨量や持病に関係なく可能 |
6. このような方に3DRをおすすめします
- 現在、入れ歯を使っているが馴染めない方
(食事のたびに動いて痛い、味がわからない、喋ると外れそうで不安) - 歯がボロボロで、ほとんど残っていない方
(残っている歯が数本しかない、グラグラの歯をできるだけ抜きたくない) - インプラントやブリッジを避けたい・諦めた方
(「骨が足りない」と言われた、手術が怖い、健康な歯を削りたくない、持病がある) - 見た目を若々しく保ちたい方
(口元のシワやたるみが気になる、自然な笑顔を取り戻したい)
7. 治療の流れ
1. カウンセリング・精密検査
お悩みをお伺いし、レントゲンや模型採取で顎の骨や残存歯の状態を精密に検査します。
2. 治療計画のご提案
3DRが適用可能か診断し、期間・費用・完成イメージを明確にご説明します。
3. お口の中の環境整備
歯石除去や保存不可能な歯の処置など、土台となる環境を整えます。
4. 精密な型取り・設計
お口の筋肉の動きまで考慮した非常に繊細な型取りを行います。
5. 試適(フィッティング)
仮の歯を装着し、見た目・噛み合わせ・発音を納得がいくまで微調整します。
6. 完成・装着
装置を装着し、取り扱いや歯磨きなどのお手入れ方法をご指導します。
7. メンテナンス
長く快適にお使いいただくため、定期検診でお口の変化に合わせた微調整を行います。
8. よくあるご質問(FAQ)
-
- 本当に手術なしで固定できるのですか?
- はい、外科手術は一切行いません。薄く強度の高い金属等を用いた独自の維持装置の設計により、摩擦力や適合力を利用してしっかりと密着・固定します。
-
- 歯が一本もなくても大丈夫ですか?
- はい、適用可能です。無歯顎の方でも、粘膜の形状などを利用して安定させる設計が可能です。わずかでも歯根が残っている場合は、それを強力な維持源として活用します。
-
- 痛みはありますか?
- 治療中の痛み(麻酔や切開など)はありません。装着当初は新しい装置に慣れるまで少し違和感や痛みが出る場合がありますが、数回の調整で解消され、快適に噛めるようになります。
-
- 費用はどれくらいかかりますか?
- 自費診療(保険適用外)となります。お口の状態により異なりますが、事前のカウンセリング時に明確なお見積もりをご提示いたします。
院長メッセージ

「もう一度、思いっきり笑って、好きなものを食べてほしい」
歯を失うということは、単に噛む機能を失うだけでなく、自信や生活の楽しみまで奪ってしまうことがあります。私はこれまで、入れ歯が合わずに食事を楽しめない方や、インプラントができずに途方に暮れる患者様を数多く見てきました。
「なんとかならないか」
その一心でたどり着いたのが、この3DR治療です。これは、歯科医療の技術革新がもたらした、患者様へのギフトだと思っています。手術のリスクを負うことなく、健康な歯を削ることもなく、入れ歯の不便さから解放される。この感動を、一人でも多くの方に味わっていただきたいと強く願っています。
当院は、3DR症例において多くの実績を持っています。難しいケースであっても、決して諦めずに最善の方法をご提案します。
「もう年だから」「どこに行ってもダメだったから」と諦める前に、ぜひ一度、当院にご相談ください。あなたの人生の新しい章を、美しい歯とともに始めましょう。
- 診療科目
なるべく歯を残す・削らない治療をおこなっており、特殊な治療法も導入しております。できるだけご要望にそった治療に努めております。
- よくある質問
これまでお問合せ頂いた内容を記載しております。まずはご覧ください。記載にないものについては別途お問合せ下さい。
- 料金表
治療についての一覧表になります。保険治療だけでなく、自由診療など、幅広く治療メニューをご提案しております。最適な治療を一緒にご相談のうえ、決めていきましょう。
- 支払方法
(ペイライト)
